Benvenuto Ospite

Forum Entomologi Italiani

www.entomologiitaliani.net/forum
 
Oggi è 15/10/2025, 9:57

Tutti gli orari sono UTC + 1 ora [ ora legale ]

Termiti e loro simbionti



nuovo argomento
rispondi
Pagina 1 di 1 [ 3 messaggi ]
Autore Messaggio
 Oggetto del messaggio: Termiti e loro simbionti
MessaggioInviato: 28/03/2017, 19:27 
Avatar utente

Iscritto il: 11/08/2015, 0:29
Messaggi: 42
Località: Ferrara
Nome: Andrea Bosi
.


Gnam ! Ed io ti mangio la casa !

0.JPG




Molto diffuse in gran parte del Mondo, stanno diventando frequenti anche da noi.

C’eravamo illusi dicendo che da noi non c’è abbastanza caldo, che da noi ci sono poche costruzioni in legno, ed invece . . . . .
. . . . ed invece le termiti che vedete erano a far danni a Bagnacavallo, mica tanto lontano.

1.JPG




Pensare che negli USA la disinfestazione dalle termiti è un business ingente ed ora, anche da noi, sarà meglio starci attenti: basta che una regina gravida finisca il suo volo in un sotto tetto, che si ritrova delle bellissime travi che garantiranno a lei ed alle future progenie, ottimi spuntini.

Le termiti hanno dimensioni un poco più cicciotte delle formiche, sono completamente cieche, ma ugualmente sentono la presenza della luce e la rifuggono, per cui non vedrete mai una termite esposta alla luce, ma sarà sempre ben nascosta al buio.
Insetto altamente sociale, oltre alla regina fertile, ha varie caste: maschi, soldati, operaie, ecc.

2.JPG



Si nutrono quasi esclusivamente a base di legno più o meno in decomposizione ed, in qualche modo, riescono a trarne giovamento.

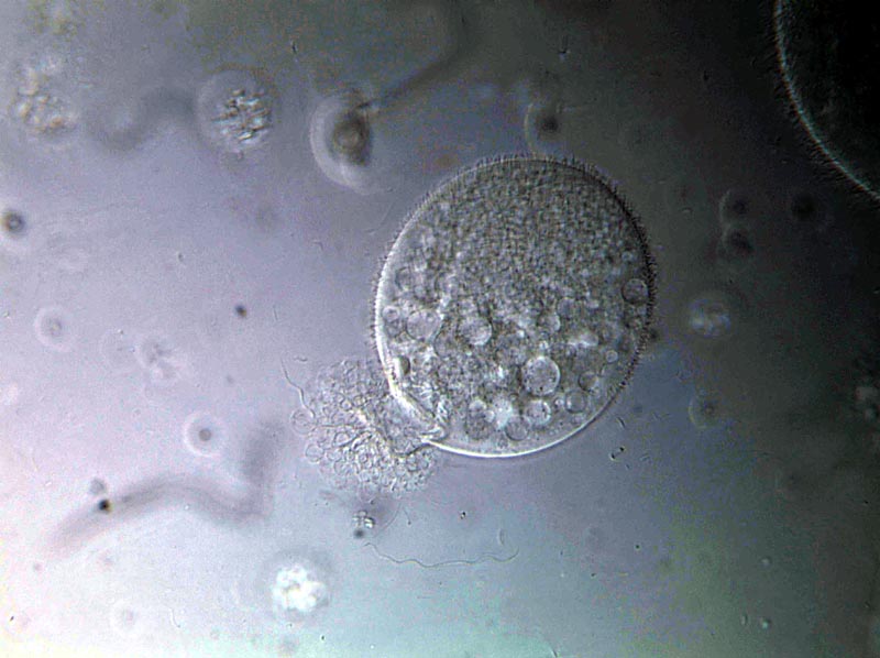
Ma come fanno a digerire il legno ed a nutrirsene ?

Ma neanche per idea, loro ingurgitano il legno, è vero, ma non se ne nutrono, invece albergano nel loro intestino una enorme flora di batteri e di protozoi e sono proprio questi che riescono a digerire lignina e cellulosa. Poi anche i protozoi ed i batteri muoiono e sarà il loro corpo che le termiti metabolizzeranno, ricavandone così zuccheri, proteine, lipidi e tutto ciò che a loro serve per campare.

3.JPG



I protozoi sono molto specializzati ed hanno tutti una specie di appendice con ciuffo e le forme più strane: https://youtu.be/_0xQ4AuG5oE

4.JPG



Per riprenderli al meglio, le tecniche più adatte sono il Contrasto di Fase, il Contrasto Interferenziale (DIC) e la colorazione con blu metile ed altri coloranti citoplasmatici.

I batteri sono in grande maggioranza degli spirilli molto mobili, anche di grandi dimensioni e non stanno mai fermi un momento: http://youtu.be/4jY6kQfg6_o


7.JPG




Altre immagini di simbionti delle termiti:

5.JPG




6.JPG





:hi:

_________________
Andrea

URL: http://spazioinwind.libero.it/andrea_bosi/index.htm


Ogni oggetto ha la sua storia,
. . . io non vendo oggetti,
. . . . . . io racconto storie. (Enotria)


Top
profilo
 Oggetto del messaggio: Re: Termiti e loro simbionti
MessaggioInviato: 28/03/2017, 20:12 
Avatar utente

Iscritto il: 09/06/2012, 20:57
Messaggi: 4282
Località: Mesola (FE)
Nome: Daniele Maccapani
Spettacolare! :o
Starebbe altrettanto bene nella sezione "entomologia generale", è un post davvero interessante!
Come hai estratto i simbionti? Semplicemente sbudellando una termite?

Riguardo le infestazioni, so che Bagnacavallo è una delle zone d'Italia dove le termiti causano più danni; il mio prof di entomologia, che è un esperto proprio di termiti, ci ha raccontato di almeno un episodio in cui una abitazione è stata completamente distrutta. Anche io ne sono rimasto stupito quando ce l'ha raccontato!

:hi:

_________________
"Lasciate questo mondo un po' migliore di come lo avete trovato" (Sir Robert Baden Powell)
Immagine Daniele


Top
profilo
 Oggetto del messaggio: Re: Termiti e loro simbionti
MessaggioInviato: 31/03/2017, 12:10 
Avatar utente

Iscritto il: 11/08/2015, 0:29
Messaggi: 42
Località: Ferrara
Nome: Andrea Bosi
No, non occorre spremerle, per emettere protozoi e batteri in gran numero lo fanno già naturalmente con le loro deiezioni.

Aggiungo un altro paio di foto dei protozoi, l'ultimo è ripreso in luce polarizzata.

B__12.jpg



Pola.jpg



Se vuoi, fai vedere al tuo profe le foto, penso siano interessanti e, ancora di più, saranno interessanti i suoi commenti, specie se tu li riporterai qui sul forum.

:hi:

_________________
Andrea

URL: http://spazioinwind.libero.it/andrea_bosi/index.htm


Ogni oggetto ha la sua storia,
. . . io non vendo oggetti,
. . . . . . io racconto storie. (Enotria)


Top
profilo
Visualizza ultimi messaggi:  Ordina per  
nuovo argomento
rispondi
Pagina 1 di 1 [ 3 messaggi ]

Tutti gli orari sono UTC + 1 ora [ ora legale ]


Chi c’è in linea

Visitano il forum: Nessuno e 1 ospite


Non puoi aprire nuovi argomenti
Non puoi rispondere negli argomenti
Non puoi modificare i tuoi messaggi
Non puoi cancellare i tuoi messaggi
Non puoi inviare allegati

Cerca per:
Vai a: