Benvenuto Ospite

Forum Entomologi Italiani

www.entomologiitaliani.net/forum
 
Oggi è 09/02/2026, 21:55

Tutti gli orari sono UTC + 1 ora [ ora legale ]

Mormo maura (Linnaeus, 1758) - Noctuidae Noctuinae Dypterygiini "micotizzate"

17.XI.2016 - ITALIA - Abruzzo - PE, Vicoli, fiume Nora, Parco territoriale attrezzato


nuovo argomento
rispondi
Pagina 1 di 1 [ 3 messaggi ]
Autore Messaggio
MessaggioInviato: 18/11/2016, 17:11 
Avatar utente

Iscritto il: 23/06/2010, 19:05
Messaggi: 2588
Località: Pescara
Nome: Alessio Morelli
Ciao a tutti,
ieri pomeriggio, mi sono imbattuto in queste due falene dall'aspetto alquanto anomalo (anomalo è un eufemismo :shock: ).
Ammetto che mi capita a volte di incontrare insetti morti a causa di micosi, fermi in quelle strane pose, quasi fossero rimasti congelati, ma mai di questo tipo!

Praticamente le povere falene erano rimaste aggrappate in posizione di riposo all'interno di una piramide di legno di un parco giochi.

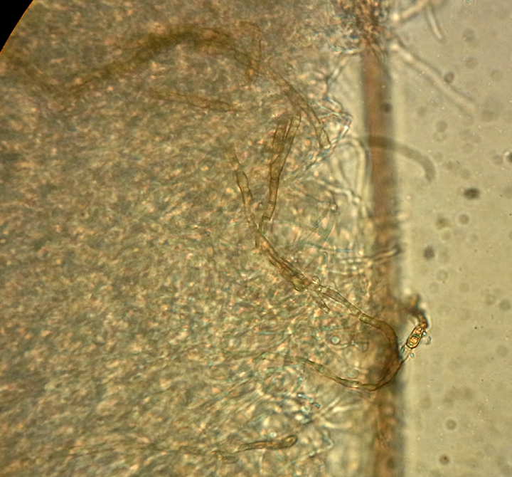
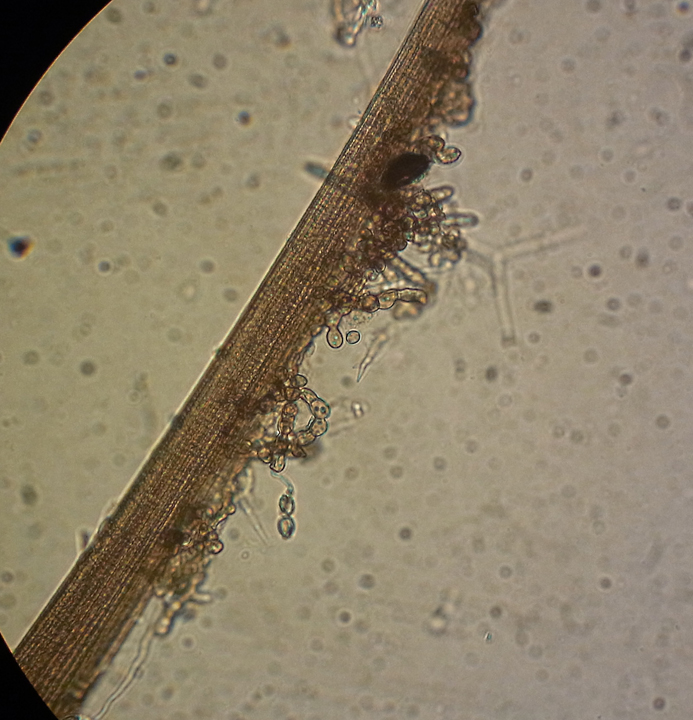
Visto che c'ero oggi ho tentato anche un'analisi, per così dire ( :gh: :sick: ), istologica del fungo, andando a ricercare spore e conidiofori, nel caso possano servire per il riconoscimento.
Qualcuno sa di che specie si tratta (ascomiceto e insetto)? :D

grazie :hi:

DSCN1088.JPG


ex 1
DSCN1077.JPG


DSCN1081.JPG


DSCN1082.JPG


ex 2
DSCN1086.JPG


DSCN1085.JPG


DSCN1089.JPG


Conidi e conidiofori
conidi e conidofori 1.jpg


conidi e conidofori.JPG



Top
profilo
 Oggetto del messaggio: Re: Nottuidei "micotizzati"
MessaggioInviato: 18/11/2016, 17:14 
Avatar utente

Iscritto il: 02/09/2009, 20:57
Messaggi: 8703
Località: Cagliari
Nome: Roberto Rattu
Ciao Alessio, mai vista una roba così :shock: :shock: . Sembrerebbero delle Mormo maura (Linnaeus, 1758) - Noctuidae Noctuinae Dypterygiini. Quanto sono grandi?


Top
profilo
 Oggetto del messaggio: Re: Nottuidei "micotizzati"
MessaggioInviato: 18/11/2016, 17:21 
Avatar utente

Iscritto il: 23/06/2010, 19:05
Messaggi: 2588
Località: Pescara
Nome: Alessio Morelli
Caspita che velocità Roberto! :D
35 mm di lunghezza; di apertura alare non saprei (intorno ai 6 cm immagino)...
...ma credo proprio che sia lei :ok:


Top
profilo
Visualizza ultimi messaggi:  Ordina per  
nuovo argomento
rispondi
Pagina 1 di 1 [ 3 messaggi ]

Tutti gli orari sono UTC + 1 ora [ ora legale ]


Chi c’è in linea

Visitano il forum: Nessuno e 3 ospiti


Non puoi aprire nuovi argomenti
Non puoi rispondere negli argomenti
Non puoi modificare i tuoi messaggi
Non puoi cancellare i tuoi messaggi
Non puoi inviare allegati

Cerca per:
Vai a: