.
Gnam ! Ed io ti mangio la casa !
Molto diffuse in gran parte del Mondo, stanno diventando frequenti anche da noi.
C’eravamo illusi dicendo che da noi non c’è abbastanza caldo, che da noi ci sono poche costruzioni in legno, ed invece . . . . .
. . . . ed invece le termiti che vedete erano a far danni a Bagnacavallo, mica tanto lontano.
Pensare che negli USA la disinfestazione dalle termiti è un business ingente ed ora, anche da noi, sarà meglio starci attenti: basta che una regina gravida finisca il suo volo in un sotto tetto, che si ritrova delle bellissime travi che garantiranno a lei ed alle future progenie, ottimi spuntini.
Le termiti hanno dimensioni un poco più cicciotte delle formiche, sono completamente cieche, ma ugualmente sentono la presenza della luce e la rifuggono, per cui non vedrete mai una termite esposta alla luce, ma sarà sempre ben nascosta al buio.
Insetto altamente sociale, oltre alla regina fertile, ha varie caste: maschi, soldati, operaie, ecc.
Si nutrono quasi esclusivamente a base di legno più o meno in decomposizione ed, in qualche modo, riescono a trarne giovamento.
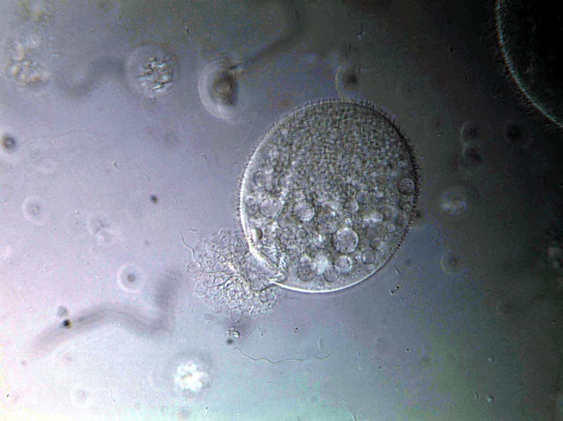
Ma come fanno a digerire il legno ed a nutrirsene ?
Ma neanche per idea, loro ingurgitano il legno, è vero, ma non se ne nutrono, invece albergano nel loro intestino una enorme flora di batteri e di protozoi e sono proprio questi che riescono a digerire lignina e cellulosa. Poi anche i protozoi ed i batteri muoiono e sarà il loro corpo che le termiti metabolizzeranno, ricavandone così zuccheri, proteine, lipidi e tutto ciò che a loro serve per campare.
I protozoi sono molto specializzati ed hanno tutti una specie di appendice con ciuffo e le forme più strane:
https://youtu.be/_0xQ4AuG5oEPer riprenderli al meglio, le tecniche più adatte sono il Contrasto di Fase, il Contrasto Interferenziale (DIC) e la colorazione con blu metile ed altri coloranti citoplasmatici.
I batteri sono in grande maggioranza degli spirilli molto mobili, anche di grandi dimensioni e non stanno mai fermi un momento:
http://youtu.be/4jY6kQfg6_o Altre immagini di simbionti delle termiti:

_________________
Andrea
URL:
http://spazioinwind.libero.it/andrea_bosi/index.htmOgni oggetto ha la sua storia,
. . . io non vendo oggetti,
. . . . . . io racconto storie. (Enotria)