Benvenuto Ospite

Forum Entomologi Italiani

www.entomologiitaliani.net/forum
 
Oggi è 10/04/2026, 5:30

Tutti gli orari sono UTC + 1 ora [ ora legale ]

Miasi da larve di Hypodermatinae - Oestridae

 


nuovo argomento
rispondi
Pagina 1 di 1 [ 12 messaggi ]
Autore Messaggio
MessaggioInviato: 09/01/2015, 22:59 
 

Iscritto il: 05/04/2014, 14:17
Messaggi: 561
Località: Casarza Ligure (Ge)
Nome: Manuela Baldari
Buonasera carissimi,
un mio collega AnatomoPatologo mi ha chiesto un parere su due larve trovate in due lesioni cutanee di una paziente, entrambi pensiamo si tratti di miasi ma chiediamo un vostro parere di esperti in materia :ok:
La storia è questa, così come me l'ha inviata il Patologo:
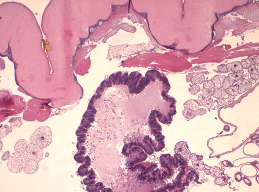
"ragazza di 29 anni che presentava due noduli cutanei retroauricolari e laterocervicali sospetti per cisti da inclusione epidermica; all'incisione il chirurgo si è trovato di fronte alla "sorpresa" e mi ha chiamato in sala operatoria perchè non aveva mai visto questi organismi; vi inoltro la foto macroscopica e le foto istologiche.
Foto macroscopica: essi hanno lunghezza di circa cm 1,5; è presente anche cute sovrastante staccata.
Foto microscopiche: purtroppo non ho potuto fare foto "panoramica"; ho fatto alcune foto al minore ingrandimento; si possono osservare le componenti della larva caratterizzata da spessa cuticola con sparse "spine" in superficie, che penso che siano i rostri; internamente alla cuticola si osserva strato di tessuto muscolare liscio ed organi interni conservati; ho fatto anche una foto del lembo di cute e sottocute sovrastante centrato da tragitto fistoloso circondato da denso infiltrato infiammatorio costituito da linfociti, plasmacellule, istiociti e più rari granulociti eosinofili.
Sono disponibile per immagini a maggiore ingrandimento.
Unico dato clinico degno di nota: viaggio in Chiapas in ottobre 2014.
Ho interpretato il caso come Miasi, ma non avendo esperienza nel settore chiedo un parere di chi ne abbia. "

Io vi metto due foto macroscopiche e quelle istologiche, che in pratica rappresentano le "fette" della larva partendo da un'estremità (bocca?), poi il centro (forse l'apparato digerente?) e l'altra estremità...spero siano sufficienti :)
P.S. ho messo dato incompleto perchè la larva è stata trovata sotto cute di una ragazza qua a Sestri Levante (GE), ma probabilmente sarebbe più corretto mettere Messico come Paese....giusto? :roll:


isto3.jpg

isto2.jpg

isto.jpg

larve macro2.jpg

larve macro.jpg

Top
profilo
 Oggetto del messaggio: Re: Miasi?
MessaggioInviato: 09/01/2015, 23:27 
 

Iscritto il: 07/07/2014, 21:24
Messaggi: 69
Nome: Tigran Kredjyan
Ayakuccia ha scritto:
Buonasera carissimi,
un mio collega AnatomoPatologo mi ha chiesto un parere su due larve trovate in due lesioni cutanee di una paziente, entrambi pensiamo si tratti di miasi ma chiediamo un vostro parere di esperti in materia :ok:
La storia è questa, così come me l'ha inviata il Patologo:
"ragazza di 29 anni che presentava due noduli cutanei retroauricolari e laterocervicali sospetti per cisti da inclusione epidermica; all'incisione il chirurgo si è trovato di fronte alla "sorpresa" e mi ha chiamato in sala operatoria perchè non aveva mai visto questi organismi; vi inoltro la foto macroscopica e le foto istologiche.
Foto macroscopica: essi hanno lunghezza di circa cm 1,5; è presente anche cute sovrastante staccata.
Foto microscopiche: purtroppo non ho potuto fare foto "panoramica"; ho fatto alcune foto al minore ingrandimento; si possono osservare le componenti della larva caratterizzata da spessa cuticola con sparse "spine" in superficie, che penso che siano i rostri; internamente alla cuticola si osserva strato di tessuto muscolare liscio ed organi interni conservati; ho fatto anche una foto del lembo di cute e sottocute sovrastante centrato da tragitto fistoloso circondato da denso infiltrato infiammatorio costituito da linfociti, plasmacellule, istiociti e più rari granulociti eosinofili.
Sono disponibile per immagini a maggiore ingrandimento.
Unico dato clinico degno di nota: viaggio in Chiapas in ottobre 2014.
Ho interpretato il caso come Miasi, ma non avendo esperienza nel settore chiedo un parere di chi ne abbia. "

Io vi metto due foto macroscopiche e quelle istologiche, che in pratica rappresentano le "fette" della larva partendo da un'estremità (bocca?), poi il centro (forse l'apparato digerente?) e l'altra estremità...spero siano sufficienti :)
P.S. ho messo dato incompleto perchè la larva è stata trovata sotto cute di una ragazza qua a Sestri Levante (GE), ma probabilmente sarebbe più corretto mettere Messico come Paese....giusto? :roll:



It is the larvae of subcutaneous warble fly (Hypodermatinae).
The characteristic feature from larvae sclerosed presence of strong hooks arranged in a ring.

In the mountainous regions of the globe subcutaneous warble flys are very widespread.

Usually, warble flys rarely attack people, but there are always going to happen.
In this incident, I think that this is the larva Dermatobia hominis, obligate myiasis.

Fly does not attack their prey. It attacks small flies, mosquitoes, lay eggs on them, and then infected naskomye syadyas the victim, carry their eggs on the skin. The larvae of the heat from the skin of the victim under the hatch and penetrate his skin.
Under the skin of the larva begins pitatsya and grow. Then she leaves the host, they pupate in the soil.

Sometimes the larvae are parasitic in the eyes.


Top
profilo
 Oggetto del messaggio: Re: Miasi?
MessaggioInviato: 09/01/2015, 23:32 
 

Iscritto il: 05/04/2014, 14:17
Messaggi: 561
Località: Casarza Ligure (Ge)
Nome: Manuela Baldari
Thank you very much :hi:


Top
profilo
 Oggetto del messaggio: Re: Miasi?
MessaggioInviato: 09/01/2015, 23:37 
 

Iscritto il: 07/07/2014, 21:24
Messaggi: 69
Nome: Tigran Kredjyan
Ayakuccia ha scritto:
Thank you very much :hi:

:hi:
It is not necessary to thank.
Glad to help and thank you for a very interesting topic.


Top
profilo
 Oggetto del messaggio: Re: Miasi?
MessaggioInviato: 10/01/2015, 9:08 
 
e se si potevano togliere senza incisioni?
non mi piace questo "interventismo" alla cieca medico


Top
 Oggetto del messaggio: Re: Miasi?
MessaggioInviato: 10/01/2015, 10:39 
 

Iscritto il: 05/04/2014, 14:17
Messaggi: 561
Località: Casarza Ligure (Ge)
Nome: Manuela Baldari
In realtà l'intervento è stato fatto dai Chirurghi generali che erano convinti si trattasse di semplici cisti, hanno fatto un'asportazione semplice in anestesia locale senza grossi traumi per la paziente e non so neanche se lei avesse sintomi come dolore o prurito... se l'avessi visitata io per esempio, credo che con il dermatoscopio (una specie di lente di ingrandimento con luce che si mette a contatto con la pelle per vederne meglio la struttura) avrei potuto sospettare qualcosa, perchè immagino che il buco per far respirare la creatura sia diverso da uno sbocco di una cisti :shock:

A quel punto magari mi sarei divertita ad allargare l'opercolo e vedere se la bestiuzza era viva o no (anche se dubito che a queste temperature riesca a finire il suo ciclo vitale), ma con tutte quelle "spinette" che si ancorano al sotto cute dubito che sarei riuscita a toglierle senza incidere almeno un minimo :roll:


Top
profilo
 Oggetto del messaggio: Re: Miasi?
MessaggioInviato: 10/01/2015, 11:40 
Avatar utente

Iscritto il: 04/06/2010, 16:12
Messaggi: 1797
Nome: Pier Francesco Murgia
un poster esplicativo
http://www.adoilucca2013.it/poster/Butt ... nitivo.pdf
un articolo
http://www.progettoasco.it/riviste/rivi ... 2009/5.pdf

:hi:

_________________
Pier Francesco
Perseverare è umano


Top
profilo
 Oggetto del messaggio: Re: Miasi?
MessaggioInviato: 10/01/2015, 14:16 
Avatar utente

Iscritto il: 02/02/2009, 23:32
Messaggi: 5645
Località: da Ferrara ad Alghero
Nome: Roberto A. Pantaleoni
Contribuisco trascrivendo un breve brano che credo sia sconosciuto ai più (chi ha mai avuto il coraggio di leggere per intero i due volumi di Athos Goidanich "Uomini, storie e insetti italiani nella scienza del passato. I precursori minori" pubblicati come supplemento a Redia vol. 57 del 1975?):
[da pag. 632 nel capitolo dedicato a Metaxà Telemaco al termine dello stesso a pag. 635]
Una singolare coincidenza di osservazioni tra noi ed il Collega di un secolo e mezzo fa, sopra due identici casi di miasi vascolare, ci induce a parlare di un caso entomologicamente inedito e sul quale non avevamo avuto il tempo di riferire pubblicamente. Nel 1962 la Clinica Medica Generale e Terapia Medica dell'Università di Torino, diretta dal chiaro Collega prof. Giulio Cesare Dogliotti, chiese un nostro consulto clinico per un paziente, ricoverato e curato per una imponente eosinofilia ematica ad eziologia sconosciuta, per il quale tutte le ipotesi patogene erano escluse: fortunatamente anche l'ultima prospettata di una linfogranulomatosi maligna. L'uscita improvvisa ed inaspettata di piccole larve, che identificammo per quelle di prima età di Hypoderma lineatum (piuttosto che di bovis), capovolse la terapia successiva verso la soluzione fausta. Il paziente aveva presentato ad un certo punto, nel decorso patologico di parecchie settimane, varie zone edematose sottocutanee sul corpo (dalla gamba alle cosce, dallo scroto all'inguine e dal petto alla schiena, qui paravertebrale), rotondeggianti, arrossate, dolenti, dimensioni di un uovo. Fuoriuscita inizialmente spontanea, poi chirurgicamente determinata, di piccole biancastre allungate larve reptanti. La biologia normale dello Hypoderma, la cui larva sgusciando dall'uovo incollato ai peli si apre di forza, con gli uncini boccali ed un aguzzo processo impari mediano, la strada nell'epidermide, arriva subito nel sottocutaneo ed è indotta a infilare un vaso linfatico nel quale lentamente progredisce in direzione cefalica sostando nei gangli linfatici, e ciò negli ospiti naturali, Bos taurus di entrambi i sessi e di età almeno quasi adulta (torelli, manzette e vitelloni, i vitellini essendo trascurati). L'abnorme parassitismo antropico aveva portato le larve (almeno una dozzina) a vagare disordinatamente nel corpo dell'ospite inconsueto ed evidentemente inadatto, sino a giungere nuovamente, organicamente respinte, alla superficie del corpo per abbandonarlo spontaneamente. L'inquinamento originario del soggetto, un contadino piemontese di età matura che portava al pascolo le mucche con ai piedi le sole scarpe senza calze (se non scalzo del tutto), e lordo di liquami di stalla, doveva essere avvenuto l'incollamento del tutto indolore sui peli della caviglia durante le sonnolente sieste nel pascolo accanto alle sue bestie. Il numero plurimo delle larve constatate rafforza la diagnosi di attacco di Hypoderma lineatum, specie che incolla in serie sopra un pelo le proprie uova (mentre H. bovis le pone isolate), anche perché è difficile che una femmina sgravandosi in condizioni così eccezionali potesse soffermarsi troppo a lungo nelle sue solerti cure materne. Questo breve schizzo descrittivo dell'anomala parassitosi si contrappone a quello riportato dal Nostro autore, che lo ha dal clinico dott. Orazio Maceroni. Un paziente "cominciò a soffrire un dolore puntorio sotto la mammella destra, senza che nulla di morboso, per quel che si dice, apparisse all'esterno. Sentiva egli la dolorosa sensazione di un corpo animale che lo rodesse, o d'instrumento incidente o comburente, che ne traversasse i muscoli o i tegumenti.Non ebbe posa, nè alleviamento per virtù di rimedi; anzi il dolore sempre più aspramente imperversava in grave sconcerto del sistema nervoso; occulta n'era ognor la cagione. Finalmente dopo lungo e penoso strazio si aprì ad un tratto un forellino presso la mammella sinistra, e da questo cominciò ad uscire un corpo avente la figura di un pinocchio [sic! probabile lapsus calami] mondato. Il paziente comprimendo le parti vicine, giunse ad estrarlo per intero, ed era un bruco vivente, com'egli dicea, non diverso da quelli che abitano sulle piante oleracee. Liberatosi dalla tormentosa larva, conseguì la total guarigione." Esattamente ad un piccolo pinolo sgusciato, bianchiccio e cereo, subcilindrico ed attenuato alle due estremità, assomiglia la larva fuoriuscente, togliendo ogni dubbio del buon Metaxà sull'identificazione del caso suo. Ne sarà contento, il Nostro, come per ogni conferna delle proprie fatiche, e noi ci rallegriamo per il suo ricordo e la sua personalità, qui risvegliati."


R


Top
profilo
 Oggetto del messaggio: Re: Miasi?
MessaggioInviato: 10/01/2015, 14:48 
Avatar utente

Iscritto il: 05/02/2009, 17:44
Messaggi: 2698
Località: Garbagnate Milanese
Nome: Augusto Franzini
Ci sono appassionati di Ditteri ma, leggendo queste righe, io non li apprezzo proprio. BRRRRRR!
Il Prof. Goidanich sapeva scrivere, bisogna dirlo. Grazie per averlo riproposto.
:hi:

_________________
Augusto (aug)
Prediction is very difficult, especially about the future (Niels Bohr, fisico)


Top
profilo
 Oggetto del messaggio: Re: Miasi?
MessaggioInviato: 10/01/2015, 15:25 
Avatar utente

Iscritto il: 30/12/2009, 22:20
Messaggi: 31564
Località: Roma
Nome: Maurizio Gigli
Hemerobius ha scritto:
pinocchio [sic! probabile lapsus calami]

Pinocchio è un sinonimo, non più in uso, di pinolo. Per cui, era proprio quel che intendeva scrivere.

_________________
Maurizio Gigli
http://utenti.romascuola.net/bups
http://bup.xoom.it/


Top
profilo
 Oggetto del messaggio: Re: Miasi?
MessaggioInviato: 10/01/2015, 16:14 
Avatar utente

Iscritto il: 02/02/2009, 23:32
Messaggi: 5645
Località: da Ferrara ad Alghero
Nome: Roberto A. Pantaleoni
Julodis ha scritto:
Hemerobius ha scritto:
pinocchio [sic! probabile lapsus calami]

Pinocchio è un sinonimo, non più in uso, di pinolo. Per cui, era proprio quel che intendeva scrivere.

Grazie Maurizio, questa proprio non la sapevo :) !
R


Top
profilo
 Oggetto del messaggio: Re: Miasi?
MessaggioInviato: 16/01/2015, 22:29 
 

Iscritto il: 05/04/2014, 14:17
Messaggi: 561
Località: Casarza Ligure (Ge)
Nome: Manuela Baldari
mi chiedevo....ma esiste una anatomia patologica degli insetti? :roll: Cioè a parte il mio collega esiste qualcuno che studia la struttura degli insetti dal putno di vista istologico, sezionandoli e mettendoli su vetrino e colorandoli in ematossilina eosina? Perchè in effetti non a me ha affascinato vedere un verme "da dentro", io che sono abituata a "leggere" i vetrini di cute mi sono "stupita" come le strutture cellulari siano le stesse...il muscolo liscio ad esempio è praticamente identico a quello dell'uomo .... :o


Top
profilo
Visualizza ultimi messaggi:  Ordina per  
nuovo argomento
rispondi
Pagina 1 di 1 [ 12 messaggi ]

Tutti gli orari sono UTC + 1 ora [ ora legale ]


Chi c’è in linea

Visitano il forum: Nessuno e 0 ospiti


Non puoi aprire nuovi argomenti
Non puoi rispondere negli argomenti
Non puoi modificare i tuoi messaggi
Non puoi cancellare i tuoi messaggi
Non puoi inviare allegati

Cerca per:
Vai a:  
cron