| Autore |
Messaggio |
|
Toby
|
Inviato: 16/03/2019, 12:15 |
|
Iscritto il: 13/03/2019, 12:34 Messaggi: 9
Nome: Enrico Giudice
|
Ciao a tutti! Sono nuovo del forum e avrei una domanda un po' particolare. Per la tesi avrei la necessità di isolare frammenti di artropodi (soprattutto aracnidi e insetti) da feci di pipistrello, fissarli su vetrino per poi osservarli al microscopio biologico per il riconoscimento (che credo sarà un'impresa notevole  ). Mi è stato consigliato di usare l'agar per fissare i frammenti sul vetrino, perchè crea uno strato denso che permette ai frammenti di adagiarsi al meglio tra vetrino e copri-vetrino. Purtroppo però con l'agar sto riscontrando moltissimi problemi: se lo metto sul vetrino quando è troppo caldo, tende poi a restringersi e mi lascia scoperti i frammenti che metto sul vetrino, mentre se lo metto quando è più freddo, tende a solidificare nel giro di pochissimo tempo e non faccio in tempo a mettere tutti i frammenti sul vetrino (sono dai 30 ai 50 frammenti per vetrino, quindi ho bisogno almeno di 30 minuti per metterli tutti sul vetrino). Vorrei chiedervi se avete da consigliarmi una sostanza (non troppo costosa e complessa da usare e soprattutto trovabile) per fissare i frammenti al vetrino, tenendo conto che i frammenti potrebbero avere dei residui di glicerolo, che uso per evitare che i frammenti schizzino via (credo a causa di effetto elettrostatico), dopo averli isolati dalle feci sulla piastra petri. Inoltre, (non so se sia un'informazione importante agli effetti della scelta della sostanza per fissare i frammenti), come ultimo passaggio devo poi passare dello smalto per unghie trasparente sui bordi del copri-vetrino, per sigillarlo. Grazie a chi vorrà aiutarmi. Buona giornata.
|
|
| Top |
|
 |
|
gomphus
|
Inviato: 16/03/2019, 16:12 |
|
Iscritto il: 05/02/2009, 17:31 Messaggi: 9527 Località: milano
Nome: maurizio pavesi
|
ciao toby per prima cosa, dovresti presentarti, come spiegato quidopo di che, potrai ottenere tutte le risposte che desideri nel frattempo, benvenuto nel forum 
_________________ ***************** maurizio
|
|
| Top |
|
 |
|
Toby
|
Inviato: 16/03/2019, 17:01 |
|
Iscritto il: 13/03/2019, 12:34 Messaggi: 9
Nome: Enrico Giudice
|
|
Ho provveduto, mi scuso per la mancanza
|
|
| Top |
|
 |
|
gomphus
|
Inviato: 16/03/2019, 17:10 |
|
Iscritto il: 05/02/2009, 17:31 Messaggi: 9527 Località: milano
Nome: maurizio pavesi
|
ok come primo tentativo, potresti provare ad aggiungere un secondo strato di agar sul vetrino dove in precedenza avevi messo quello molto caldo, che solidificandosi aveva lasciato parzialmente scoperti i frammenti in ogni caso, aspetta anche qualche altro parere 
_________________ ***************** maurizio
|
|
| Top |
|
 |
|
Toby
|
Inviato: 16/03/2019, 18:40 |
|
Iscritto il: 13/03/2019, 12:34 Messaggi: 9
Nome: Enrico Giudice
|
Ti ringrazio per la risposta  Purtroppo non posso farlo perchè si formerebbe uno strato di agar troppo spesso per poterci poi mettere sopra il copri-vetrino. E soprattutto sarebbe anche uno strato poco uniforme, perchè realizzato non su vetro ma sul precedente strato di agar e quindi a maggior ragione il copri-vetrino faticherebbe ad aderire
|
|
| Top |
|
 |
|
gabrif
|
Inviato: 16/03/2019, 19:22 |
|
Iscritto il: 14/03/2009, 12:59 Messaggi: 3238 Località: Milano
Nome: Gabriele Franzini
|
Cita: fissarli su vetrino per poi osservarli al microscopio biologico per il riconoscimento Non rischi che l'effetto schiacciamento ti complichi ulteriormente un lavoro già difficile (parlo per esperienza, avendolo fatto molti anni fa con le civette)? A quanti ingrandimenti pensi di dover arrivare? Mezz'ora è moooolto lunga, se lo strato è sottile in molto meno tempo si asciuga qualsiasi sostanza che non sia PEG o glicerina. Per intenderci, usando il DMHF in soluzione acquosa, per posizionare i pezzi nella goccia hai un minuto sì e no. A me viene in mente: potresti fare uno strato sottile di DMHF o PVP, lasciarlo seccare e poi posizionare i pezzi sperando che siano abbastanza umidi da appiccicarsi. A quel punto forse il coprioggetti manco ti serve.  G.
|
|
| Top |
|
 |
|
Toby
|
Inviato: 18/03/2019, 11:15 |
|
Iscritto il: 13/03/2019, 12:34 Messaggi: 9
Nome: Enrico Giudice
|
|
Grazie per la risposta! Per i frammenti più piccoli necessito di ingrandimento 100x (10x10x), in rari casi 400x (10x40x). Quindi il vetrino purtroppo è necessario perché lo stereomicroscopio non è sufficiente. Non conosco le sostanze che mi hai citato, di che cosa si tratta? Sono facilmente trovabili? Grazie!
|
|
| Top |
|
 |
|
gabrif
|
Inviato: 18/03/2019, 13:13 |
|
Iscritto il: 14/03/2009, 12:59 Messaggi: 3238 Località: Milano
Nome: Gabriele Franzini
|
PEG: Polietilenglicole, PVP: Polivinil pirrolidone penso si trovino facilmente, specialmente se hai accesso ad un laboratorio. Il DMHF (DiMethyl Hydantoin Formaldehyde) si può acquistare online già pronto in soluzione.  G.
|
|
| Top |
|
 |
|
aug
|
Inviato: 18/03/2019, 17:52 |
|
Iscritto il: 05/02/2009, 17:44 Messaggi: 2683 Località: Garbagnate Milanese
Nome: Augusto Franzini
|
|
_________________ Augusto (aug) Prediction is very difficult, especially about the future (Niels Bohr, fisico)
|
|
| Top |
|
 |
|
Toby
|
Inviato: 19/03/2019, 18:58 |
|
Iscritto il: 13/03/2019, 12:34 Messaggi: 9
Nome: Enrico Giudice
|
Grazie Gabrif per il chiarimento. E per Aug, purtroppo, nei vetrini che ho fatto per ora (malamente) con l'agar, ho visto che per molti frammenti serve l'ingrandimento 100x e per alcuni dettagli anche il 400 x, quindi purtroppo questi ingrandimenti elevati servono. Vi farò sapere se sopravvivo 
|
|
| Top |
|
 |
|
Julodis
|
Inviato: 20/03/2019, 18:01 |
|
Iscritto il: 30/12/2009, 22:20 Messaggi: 31564 Località: Roma
Nome: Maurizio Gigli
|
|
Ma se devi usare ingrandimenti simili, di che frammenti si tratta? Particolari veramente minuscoli! Un tarsomero, un onicchio, un antennomero di insetti già di loro molto piccoli, frammenti infinitesimali di altre parti chitinizzate. Mi sembra una impresa davvero ardua riuscire ad azzardare una determinazione da frammenti simili. Io, salvo casi particolari, non riuscirei ad identificare un insetto, al livello, non dico specifico, ma generico, e forse neanche di famiglia, osservando reperti così parziali. E non credo che per gli aracnidi sia più facile. Con un'elitra, un pronoto, o altri pezzi "più importanti", magari con caratteristiche particolari, già si potrebbe capire qualcosa, in certi casi arrivare anche alla specie. Ma siamo su dimensioni maggiori, che non necessitano osservazione a 100-400x.
|
|
| Top |
|
 |
|
aug
|
Inviato: 20/03/2019, 20:19 |
|
Iscritto il: 05/02/2009, 17:44 Messaggi: 2683 Località: Garbagnate Milanese
Nome: Augusto Franzini
|
|
_________________ Augusto (aug) Prediction is very difficult, especially about the future (Niels Bohr, fisico)
|
|
| Top |
|
 |
|
Toby
|
Inviato: 27/03/2019, 16:06 |
|
Iscritto il: 13/03/2019, 12:34 Messaggi: 9
Nome: Enrico Giudice
|
|
Purtroppo mi rendo conto che il lavoro è complesso. Come supporto ho il testo "Identification of Arthropod Fragments in Bat Droppings" di Shiel et al. che spero potrà aiutarmi. Riguardo al fissaggio dei frammenti sul vetrino per ora ho optato per la colla entomologica: metto una goccia di colla sul vetrino e ci attacco un frammento e procedo così per ogni frammento. Purtroppo non posso mettere il coprivetrino ma vedo che riesco comunque a osservare i frammenti al microscopio biologico. Andando avanti mi sto accorgendo che effettivamente l'ingrandimento 400x mi serve di rado, uso soprattutto il 40x e il 100x. Volevo allegarvi le foto di qualche frammento per darvi un'idea ma il limite di dimensione di 400 kb per gli allegati è davvero basso, e le mie foto pesano tutte di più.
|
|
| Top |
|
 |
|
f.izzillo
|
Inviato: 27/03/2019, 16:28 |
|
Iscritto il: 22/12/2009, 13:31 Messaggi: 9646 Località: Napoli
Nome: Francesco Izzillo
|
Toby ha scritto: Purtroppo mi rendo conto che il lavoro è complesso. Come supporto ho il testo "Identification of Arthropod Fragments in Bat Droppings" di Shiel et al. che spero potrà aiutarmi. Riguardo al fissaggio dei frammenti sul vetrino per ora ho optato per la colla entomologica: metto una goccia di colla sul vetrino e ci attacco un frammento e procedo così per ogni frammento. Purtroppo non posso mettere il coprivetrino ma vedo che riesco comunque a osservare i frammenti al microscopio biologico. Andando avanti mi sto accorgendo che effettivamente l'ingrandimento 400x mi serve di rado, uso soprattutto il 40x e il 100x. Volevo allegarvi le foto di qualche frammento per darvi un'idea ma il limite di dimensione di 400 kb per gli allegati è davvero basso, e le mie foto pesano tutte di più. Riduci il peso!
_________________ Francesco Izzillo
|
|
| Top |
|
 |
|
Toby
|
Inviato: 28/03/2019, 21:55 |
|
Iscritto il: 13/03/2019, 12:34 Messaggi: 9
Nome: Enrico Giudice
|
|
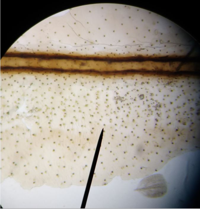
Ecco alcune foto di alcuni frammenti
|
|
| Top |
|
 |
|